
Love your new smile.
Our Patient Smile Gallery
Incredible results from Before and After photos of our patients at Gorczyca Orthodontics.
Full Smile Makeover
Arch Expansion
Opening eruption space
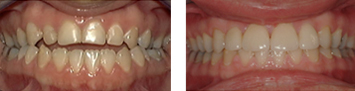
Short-Term Orthodontics:
5 months
Upper Tooth Retraction
Upper Arch Expansion
Elimination of Crowding
Midlines Centered
Ideal Overjet and Overbite
Corrected Protrusion
Corrected Deep Overbite
Crossbite Correction Phase 1
Spacing Elimination Phase 1
Arch Expansion
Invisalign® Treatment
Invisalign® Treatment
Anterior Crossbite Resolution
Open Bite Reduction






